您当前的位置 : 天津市海河医院  >  健康科普
 
【温暖“医”线】攻坚青少年耐药结核:一份历时两年的“治愈答卷”
日期:2026-01-24 15:39 来源:天津市海河医院
 
 

  近日,17岁的白某某在天津市海河医院完成术后一年的全面复查,已基本恢复正常。一年前,他在这里接受了一次关键的微创手术联合精准治疗战胜耐药结核;一年后,他带着康复的喜悦,为这场跨越近两年的治疗画上了圆满的句号。

  突发高热发现病情,常规治疗遭遇瓶颈

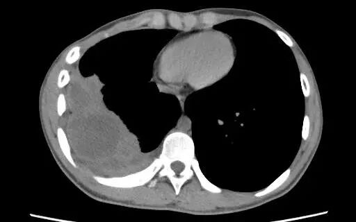
  时间回到两年前。当时,家住蓟州区的白某某突然发热,被诊断为右侧结核脓胸、腹腔积液,肝脏和脾脏也疑似受到结核感染。虽经抗结核治疗体温下降,但他始终感到右侧胸闷。随后,家人带他来到我院结核门诊复查,发现其右侧胸腔已形成包裹性积液——病灶被纤维组织包裹,药物难以渗入,常规治疗效果受限。

  即便升级抗结核治疗方案,数月后复查显示,右侧结核性包裹性脓胸依然存在。面对孩子肺功能受影响、病情可能恶化的风险,父母决定寻求手术治疗,来到我院胸外科。

  回溯关键一战:胸腔镜下的“精细”剥离

  2024年11月13日,经全面评估,胸外科医师团队决定为白某某实施VATS(胸腔镜)右侧脓胸廓清术+纤维板剥脱术。术中可见脓腔范围大,脏层、壁层胸膜都增厚形成了坚硬的纤维板,腔内还布满了粗大的纤维条索,将脓液和坏死物分隔在不同区域,结构复杂如“蜂窝”。胸外科手术团队通过一个约8厘米的切口,细致清理脓液与坏死组织,小心剥脱纤维板,最终使肺组织成功复张。当看到鼓肺后肺组织成功展开,大家悬着的心也终于放下了。

  手术历时6小时,出血仅300ml。术后患者恢复平稳,顺利返回病房。

  耐药突现,多学科协作调整方案

  就在术后恢复顺利推进时,一个新的挑战出现了——手术切除的病灶标本基因检测结果显示,患者感染的结核分枝杆菌对利福平耐药!这意味着原治疗方案需彻底调整。结核科专家立即参与会诊,结合患者年龄、肝肾功能等,为其制定了个体化用药方案,并密切监测不良反应。调整治疗后,患者未出现明显不适,肝肾功能等指标均正常。

  圆满答卷:

  一年之约,见证“肺”焕新生

  2024年11月25日,白某某伤口拆线,胸腔引流量已显著减少,精神、饮食、睡眠均恢复正常,达到出院标准。出院前,医护人员详细叮嘱用药与复查注意事项。

  “从绝望到现在看到孩子能正常走路、吃饭,感谢海河医院的医护人员,是他们给了孩子第二次健康的机会。”白某某的母亲感动地说。

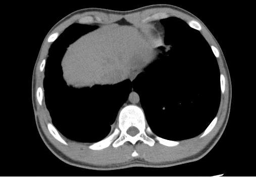
  出院后,白某某坚持每月复查,规律用药。近日,在他术后整整一年的复查中,胸部CT清晰显示:原先的病变区域已显著吸收好转,右侧胸腔结构基本恢复正常,肺功能得到有效保护。

  彰显专科实力,多学科协作攻克疑难

  本例青少年的成功救治,体现了我院在耐药结核病综合治疗与复杂结核性脓胸微创手术方面的丰富经验,也展现了胸外科、结核科、病理科等多学科协作在应对疑难重症中的关键作用,为青少年耐药结核患者的治疗提供了宝贵的临床参考。

  供稿:胸外科

 
联系我们
· 预约咨询电话:022-58830196
 (工作日8:00-11:30; 13:30-16:30,
节假日8:00-11:30)
· 夜间预约电话:18920180010
 (工作日16:30-8:00,节假日11:30-8:00)
© 2024 天津市海河医院版权所有
津ICP备07500453号
地址:天津市津南区双港镇津沽路890号
技术支持:津云
官方微信公众号
天津市海河医院
为健康需求者提供忠诚服务
 
友情链接:
中华人民共和国国家卫生健康委员会
天津市卫生健康委员会
天津市卫生人才网
天津大学医学院